Odborníci z Univerzitnej nemocnice Bratislava ako štvrtí na svete a prví na Slovensku použili špeciálny komponent pri operácii

Tím II. ortopedicko – traumatologickej kliniky LF UK a UNB v Nemocnici sv. Cyrila a Metoda v Petržalke, pod vedením prednostu prof. MUDr. Borisa Šteňa, PhD. uskutočnil inovatívnu operáciu, počas revízie totálnej endoprotézy bedrového kĺbu. Inovácia spočíva v implantácii revízneho modulárneho komponentu.
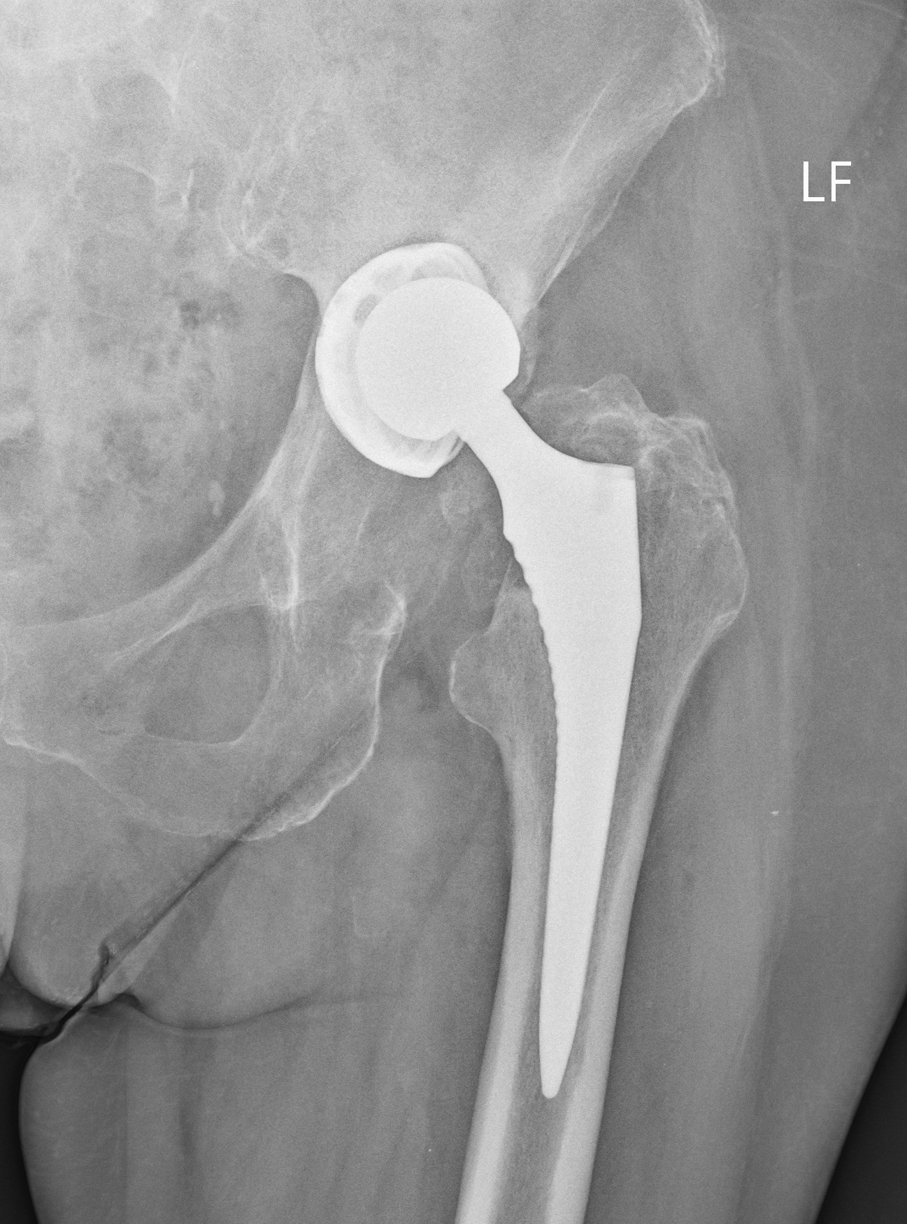
Tento implantát novej generácie špeciálnych endoprotéz je určený pre operačnú liečbu zlyhaných endoprotéz pri rozsiahlych kostných defektoch. Išlo nielen o prvú operáciu na Slovensku, ale celkovo v poradí o štvrtú operáciu na svete s použitím tzv. „butress“ dlahy, vyrobenej z trabekulárneho titánu. Operácii sa úspešne podrobila 81 ročná pacientka s rozsiahlym kostným defektom v oblasti po implantácii jamky totálnej endoprotézy.
„S potešením môžem skonštatovať, že nám na pracovisku pri operačnej liečbe zlyhania totálnych umelých náhrad bedrových kĺbov pribudol inovatívny implantát. Máme tak k dispozícii viac možností na ošetrenie komplexných kostných defektov. Na rozdiel od predošlých implantátov, tieto vieme kombinovať ako čisto necementované alebo v kombinácii s kostným cementom a kostnými štepmi.“ uviedol Boris Šteňo, prednosta II. ortopedicko – traumatologickej kliniky LF UK a UNB. Rekonštrukcia veľkého kostného defektu na strane acetábula, teda v mieste implantácie jamky totálnej endoprotézy, býva vždy zložitá, niekedy žiaľ aj nemožná. Od tohto nového implantátu si naši odborníci sľubujú rozšírenie možnosti bezpečného použitia v revíznej endoprotetike, prípadne aj u pacientov po rozsiahlych kostných defektoch po zlomeninách panvy a acetábula.
Tento revízny systém implantátov je v súčasnosti dostupný iba v ôsmich krajinách Európy, v Nemecku, Rakúsku, Taliansku, Portugalsku, Španielsku, Veľkej Británii, v Poľsku a odteraz už aj na Slovensku. Špeciálny implantát je v týchto krajinách k dispozícii v 19 centrách, používať ho môže iba 23 vybraných operatérov. Na ortopedicko-traumatologickom pracovisku v petržalskej nemocnici bol špeciálny implantát v priebehu posledných 10 dní, využitý pri operáciách u ďalších troch pacientov.
„Veľmi oceňujem snahu našich lekárov prinášať najmodernejšie spôsoby liečby z ktorých benefitujú najmä pacienti. V tomto prípade ide aj medzinárodný úspech, ktorý nás zaradil k svetovej špičke ortopedicko – traumatologických pracovísk.“ podotkol Alexander Mayer, riaditeľ Univerzitnej nemocnice Bratislava.

